Qui est le Dr Jeremy Bouganim ?+
Le Dr Jeremy Bouganim est chirurgien-dentiste, en exercice depuis 2017 au Cabinet Dentaire Saint-Sulpice, 15 rue Madame, Paris 6e. Il a été assistant au DU d'implantologie de Toulouse et a suivi la formation du DU d'esthétique de l'Université de Strasbourg (réhabilitation et usures sévères). Il s'est également formé en conception numérique du sourire (Smilecloud) et en implantologie chirurgicale à l'ICORI de Rio de Janeiro (sinus lifts et greffes osseuses).
Comment prendre rendez-vous au cabinet ?+
Vous pouvez prendre rendez-vous par téléphone au 01 42 60 22 10, par email à dr.jeremy.bouganim@gmail.com, ou directement en ligne via Doctolib. Les nouveaux patients peuvent sélectionner « Première consultation » sur Doctolib pour un premier bilan complet.
Où se situe le Cabinet Dentaire Saint-Sulpice ?+
Le cabinet est situé au 15 rue Madame, dans le 6e arrondissement de Paris, quartier Saint-Germain-des-Prés. Il est accessible par le métro Saint-Sulpice (ligne 4) et le métro Rennes (ligne 12), à proximité du Jardin du Luxembourg.
Quels sont les horaires du cabinet ?+
Le cabinet vous accueille du lundi au vendredi de 9h à 19h. Il est fermé le samedi et le dimanche. En cas d'urgence dentaire en dehors des horaires, contactez le 01 42 60 22 10 pour être orienté.
Quelles spécialités sont pratiquées au cabinet ?+
Le cabinet propose cinq pôles d'expertise : l'esthétique dentaire (facettes céramiques, blanchiment, smile design numérique), l'implantologie (pose d'implants, chirurgie guidée par ordinateur, greffes osseuses, sinus lifts), la parodontologie (traitement des maladies de gencives, surfaçage radiculaire, laser), la dentisterie adhésive conservatrice (inlays, onlays, composites injectées) et l'orthodontie invisible (aligneurs transparents).
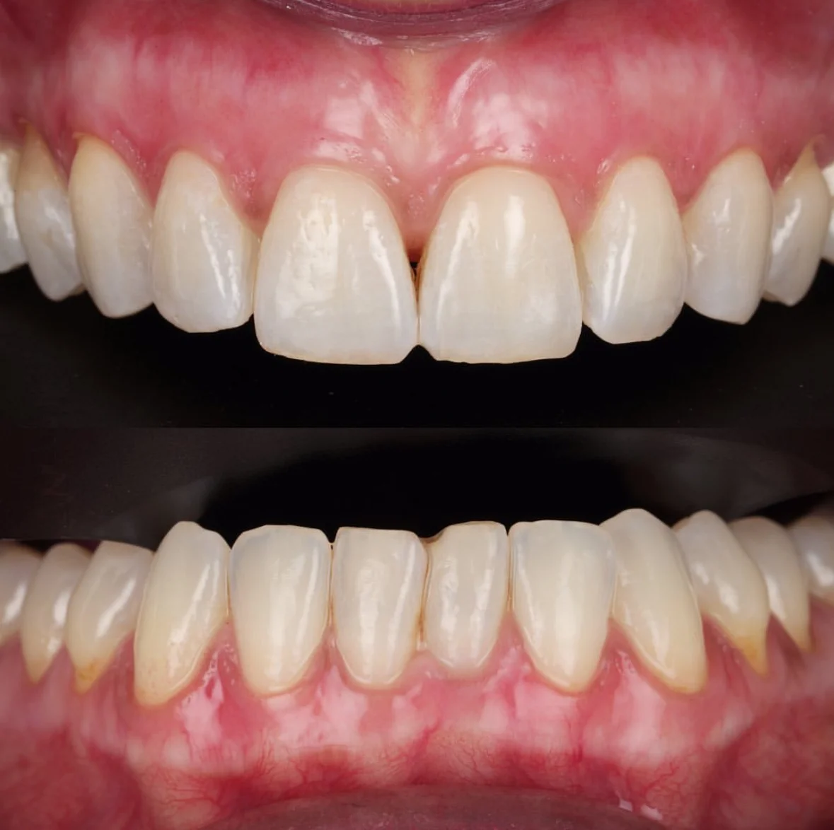
Qu'est-ce qu'une facette dentaire ?+
Une facette dentaire est une fine coque en céramique (0,3 à 0,7 mm d'épaisseur) collée sur la face visible de la dent. Elle permet de corriger la teinte, la forme ou l'alignement sans dévitaliser la dent. Au cabinet, les facettes sont conçues par biométrie faciale et planification numérique (smile design) pour un résultat naturel et harmonieux avec le visage du patient.
Comment se déroule la pose d'un implant dentaire ?+
La pose d'un implant dentaire se déroule en plusieurs étapes. Un scanner 3D cone beam est réalisé pour planifier la chirurgie par ordinateur. L'implant en titane est ensuite inséré dans l'os de la mâchoire sous anesthésie locale. Après une période d'ostéointégration de 2 à 6 mois, une couronne céramique est fixée sur l'implant. Le Dr Bouganim utilise la chirurgie guidée pour une précision optimale et un temps opératoire réduit.
Qu'est-ce que la parodontologie ?+
La parodontologie est la discipline qui traite les maladies des gencives et de l'os de soutien des dents. Les signes d'alerte comprennent des gencives qui saignent, un déchaussement dentaire ou une mauvaise haleine persistante. Le traitement au cabinet inclut le détartrage, le surfaçage radiculaire et, dans les cas avancés, des interventions de régénération tissulaire. Un diagnostic précoce permet de préserver les dents naturelles.
Les soins dentaires sont-ils remboursés ?+
Les soins conservateurs (détartrage, composites) sont pris en charge par la Sécurité sociale. Les couronnes et bridges peuvent être partiellement remboursés selon les cas. Les implants dentaires et les facettes esthétiques ne sont pas remboursés par la Sécurité sociale mais peuvent être couverts en partie par votre mutuelle. Un devis détaillé vous est systématiquement remis avant tout traitement.
Qu'est-ce que l'orthodontie invisible ?+
L'orthodontie invisible utilise des aligneurs transparents amovibles pour corriger l'alignement des dents sans brackets ni fils métalliques. Les gouttières sont fabriquées sur mesure à partir d'empreintes numériques et se changent toutes les deux semaines. Le traitement dure en moyenne 6 à 18 mois selon la complexité du cas. Les aligneurs sont quasi invisibles et peuvent être retirés pour manger et se brosser les dents.
Le cabinet accepte-t-il les nouveaux patients ?+
Oui, le cabinet accueille les nouveaux patients. Vous pouvez réserver une première consultation via Doctolib ou en appelant le 01 42 60 22 10. L'équipe est composée de 8 professionnels, dont 3 chirurgiens-dentistes, pour assurer un suivi personnalisé et des délais de rendez-vous raisonnables.
Qu'est-ce que le smile design ?+
Le smile design est un protocole de conception numérique du sourire. À partir de photographies du visage et d'empreintes numériques, le praticien dessine le projet esthétique avant de commencer les soins. Le patient visualise le résultat sur écran et peut valider le projet. Cette méthode, utilisée au cabinet avec le logiciel Smilecloud, permet de prévoir le résultat final des facettes ou des couronnes avec précision.
Quels sont les moyens de paiement acceptés ?+
Le cabinet accepte les paiements par carte bancaire, espèces et chèques. Un échelonnement de paiement peut être proposé pour les traitements importants (implantologie, esthétique globale). Un devis est remis avant chaque plan de traitement afin que vous puissiez consulter votre mutuelle.